提眼肌矯正術
療程時間
約1.5-2小時
麻醉方式
局部麻醉
恢復時間
約1-2週
效果維持
約7-10年
提眼肌矯正術
提眼肌矯正手術是針對「眼睛睜不開、容易看起來沒精神」這類問題所設計的眼整形手術。它常常會與全構式雙眼皮手術一起進行,除了打造雙眼皮線條外,還能改善眼睛無神、上眼皮下垂等問題。這個術式會針對「提眼瞼肌」(Levator muscle)進行調整或縮短,使肌肉力量加強,幫助上眼皮提得更高,讓眼神更有精神。
手術方式
提眼肌手術的原理就是縮短或調整這條肌肉的長度,讓它能更有效率地抬起眼皮。術中醫師會評估提肌的力量與鬆弛程度,進行個別調整。
手術特色
- 改善眼睛睜不大、無神感
- 提升眼神明亮度與精神感
- 搭配雙眼皮手術一次完成,效果自然
- 可改善先天提肌無力或年齡造成的眼皮下垂
- 調整後睜眼更有力、不再費力抬眉
適合對象
- 睜眼無力、容易眉毛上抬代償者
- 天生眼皮下垂(輕~重度)
- 照相總覺得「眼神呆滯無光」者
- 雙眼不對稱,其中一眼明顯睜不開
- 中年以後眼神變得疲憊、沒精神
術前注意事項
Things to note
務必告知疾病史與治療史、過敏與家族疾病,如有做過近視雷射或是眼部手術需告知醫師。
術前7天開始禁菸酒、停止服用活血性食品、保健品與藥品(尤其是阿斯匹靈)。
若有種假睫毛請先卸除;手術當天請素顏並穿著寬鬆舒適的衣物、不能騎車和開車。
術後注意事項
Things to note
手術前1-2天會有淡色血水滲出、瘀青為正常現象;傷口保持乾燥,早晚換藥1次,並多冰敷。
盡量避免使用眼力眨眼、搓揉雙眼,不運動、避免彎腰洗頭、低頭做事、負重及出力性工作。
飲食上請避免辛辣或刺激性的食物,咖啡、茶葉、煙(包含二手煙) 、酒、中藥、保健食品。
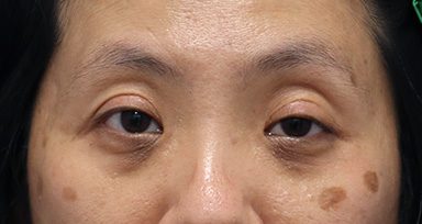
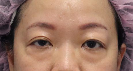
術前術後見證
Before & After
提眼肌矯正術
提眼肌矯正術
提眼肌矯正術
提眼肌矯正術
常見問答
FAQ
Q:手術會痛嗎?
手術過程中會施打局部麻醉,通常不會感覺疼痛。術後可能有輕微腫脹或緊繃感,一般幾天內會逐漸緩解。
Q:兩邊眼睛術後不對稱怎麼辦?
A:提肌手術屬於功能型手術,術後肌肉張力會逐步調整,必要時可做微調。大部分患者在1~3個月內會自然平衡。
Q:提眼肌手術會讓眼睛變得很奇怪嗎?
合併雙眼皮設計與自然比例調整,術後眼神通常會更加明亮且自然。初期會有點「睜太大」的不適感,但幾週後會趨於穩定。